原标题:【前沿&进展】南京大学吴稚伟课题组成功揭示叶酸代谢调控抗病毒天然免疫的机制
近日, 南京大学吴稚伟课题组在Metabolism-ClinicalandExperimental杂志上发表了题为“Folate metabolism negatively regulates OAS-mediated antiviral innate immunity via ADAR3/endogenous dsRNA pathway”的文章。该研究揭示了细胞叶酸代谢在抗病毒天然免疫中的调节作用。

抗病毒天然免疫是宿主细胞抵抗病毒感染的第一道防线。在宿主感染后,模式识别受体(PRR)识别病毒核酸(dsRNA/dsDNA)通过级联反应诱导抗病毒效应因子产生以抵抗病毒感染。2’-5’寡聚腺苷酸合成酶(2’-5’ oligoadenylate synthetase , OAS)是一类广谱抗病毒蛋白,包括4个成员:OAS1-3和OASL,是抗病毒天然免疫中的关键效应因子。OAS能够识别不同长度的dsRNA以激活RNaseL以降解病毒基因组并放大RIG-I介导的抗病毒天然免疫效应。虽然病毒复制过程中产生的dsRNA是经典的天然免疫激活剂已被广泛证明,但机体是否还存在新的机制来调节OAS介导的抗病毒天然免疫反应,值得进一步探索。
越来越多的证据表明细胞代谢和天然免疫之间存在调节作用,“免疫代谢”领域也备受关注。叶酸(Folate)是一种维持细胞及人体基本生命活动的B族维生素 ,能够为DNA/RNA的合成提供嘌呤底物,为甲基化修饰活动提供甲基底物,对细胞增殖、分化十分重要。然而叶酸代谢与抗病毒天然免疫之间的关系仍是鲜为人知的。
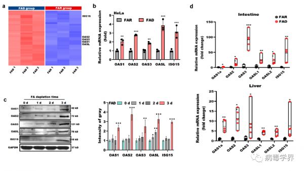
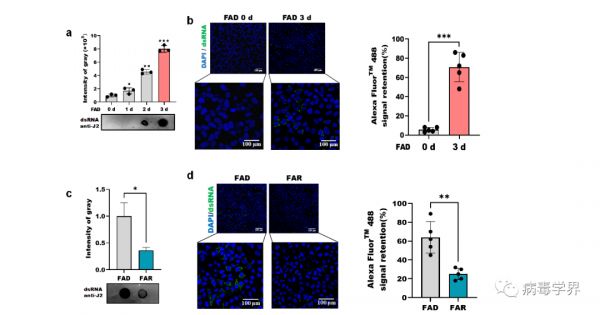
该研究团队发现中断叶酸代谢后,即使在没有病毒感染的情况下,OAS家族蛋白也能够被显著诱导和激活。细胞质中dsRNA是OAS产生和激活的关键。宿主细胞中除了会存在病毒复制过程中产生的外源性dsRNA(ex-dsRNA)外,还存在有大量的内源性dsRNA(en-dsRNA)。为了探究叶酸缺乏状态下OAS产生和激活的机制,研究人员利用RNAIP-Dotblot技术和免疫荧光技术对叶酸缺乏状态下细胞质中en-dsRNA进行定量,并发现叶酸缺乏时细胞质中累积了大量的en-dsRNA,而这种现象在补充生理剂量的叶酸后消失。提示叶酸代谢通过诱导en-dsRNA累积负向调控OAS介导的抗病毒天然免疫。

图1 叶酸缺乏诱导OAS表达

图2 叶酸缺乏诱导en-dsRNA在细胞质中累积
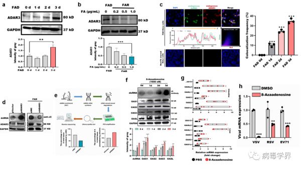
生理条件下,细胞质中不存在en-dsRNA,因为宿主细胞已形成了一套完善的区分内源性和外源性RNA的体系。ADAR蛋白家族(ADAR1-3)介导的en-dsRNA中A-to-I的编辑是en-dsRNA避免触发抗病毒的关键机制之一。ADAR1/2能够与其他dsRNA感受器(如OAS2)发生竞争性结合;另一方面,其介导的A-to-I编辑使得en-dsRNA在细胞质中失去双链结构从而无法被模式识别受体识别。然而,与ADAR1不同,ADAR3虽然具有dsRNA结合域,但无酶活性,被认为是ADAR1/2介导的A-to-I编辑的竞争性机制蛋白。在本项目中,研究人员发现,叶酸缺乏时ADAR3被显著上调,叶酸补充后恢复生理水平。研究人员进一步发现叶酸缺乏状态下ADAR3与en-dsRNA共定位,且与en-dsRNA的累积量和A-to-I编辑频率呈正相关关系,并证明了ADAR3正调控OAS2的表达。提示叶酸代谢通过ADAR3/en-dsRNA轴负向调控OAS介导的抗病毒天然免疫。最后,考虑到转化潜力,研究人员评估了A-to-I小分子抑制剂8-Azaadenosine对抗病毒天然免疫的激活效果和抗病毒效果。结果发现,8-Azaadenosine不仅是良好的OAS诱导剂,也是出色的广谱抗病毒剂,包括VSV、RSV和EV71等RNA病毒。

图3 叶酸缺乏诱导ADAR3上调并抑制en-dsRNA的A-to-I编辑(a-e)
8-Azaadenosine的抗病毒天然免疫激活及抗病毒效果评估(f-h)
总之,该研究有以下两方面创新性发现:①首次揭示了叶酸代谢和OAS介导的抗病毒天然免疫之间的关系,即叶酸代谢负向调控OAS介导的抗病毒天然免疫;②揭示了叶酸代谢对en-dsRNA的调控作用机制,即叶酸缺乏状态下通过ADAR3的A-to-I编辑的抑制作用诱导en-dsRNA在胞质中异常累积。该研究以免疫代谢为指引,揭示了叶酸代谢与OAS介导抗病毒天然免疫的关系,对探索病毒感染的新机制、寻找限制病毒感染的新靶点及完善经典抗病毒天然免疫通路具有重要的理论意义,为抗病毒药物研发提供了基础线索。

南京大学医学院在读博士研究生吴竞为第一作者,由巧为共同第一作者,南京大学公共健康医学中心,南京大学生命分析化学国家重点实验室吴稚伟教授和南京大学公共健康医学中心陈德燕副研究员为通讯作者。该项目受到了国家自然科学基金面上项目和重点项目的资助。
责任编辑:


还没有内容